Ανεπάρκεια Μιτροειδούς Βαλβίδας
![]() |
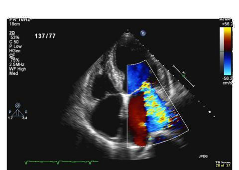
Η μιτροειδής βαλβίδα φράσσει το αριστερό κολποκοιλιακό στόμιο. Η μιτροειδική συσκευή είναι μια πολύπλοκη δομή, αποτελούμενη από ινώδη δακτύλιο, δύο γλωχίνες, δύο θηλοειδείς μύες και τις τενόντιες χορδές. Το εμβαδόν του μιτροειδικού στομίου είναι 4-6cm2. Η ανεπάρκεια μιτροειδούς, είναι η νοσολογική οντότητα μη στεγανούς σύγκλεισις των γλωχίνων της μιτροειδούς, με αποτέλεσμα την παλινδρόμηση αίματος από την αριστερή κοιλία προς τον αριστερό κόλπο, κατά την διάρκεια στης συστολής. Διαχωρίζεται σε οξεία ανεπάρκεια βαλβίδας, που χρήζει άμεσης αντιμετώπισης, πχ επί εδάφους λοιμώδους ενδοκαρδίτιδας ή οξέως εμφράγματος μυοκαρδίου και σε χρόνια ανεπάρκεια μιτροειδούς, προοδευτικής εγκατάστασης. |
Τα συχνότερα αίτια χρόνιας ανεπάρκειας είναι η φλεγμονώδης προσβολή των γλωχίνων, η εκφύλιση, η πρόπτωση μιτροειδούς, η διάταση του μιτροειδικού δακτυλίου. Η ατελής σύγκλειση των γλωχίνων και η παλίνδρομηση αίματος προς τον αριστερό κόλπο, οδηγεί σε αύξηση του προφόρτιου της αριστερής κοιλίας και σε διάταση του αριστερού κόλπου. Η αριστερή κοιλία προσαρμόζεται στην διαστολική υπερφόρτισή της με αύξηση της συσταλτικότητας, με έκκεντρη υπερτροφία τοιχωμάτων και αύξηση της ενδοτικότητας της, ώστε να εξασφαλισθεί η καρδιακή παροχή. Η αντιρρόπηση κρατά χρόνα, κατά την οποία ο ασθενής παραμένει ασυμπτωματικός ή τουλάχιστον ολιγοσυμπτωματικός. Προοδευτικά, η χρόνια επιβάρυνση της αριστερής κοιλίας και η διάταση του αριστερού κόλπου, οδηγούν στην αύξηση των πνευμονικών πιέσεων και την εμφάνιση πλέον συμπτωμάτων συστηματικής συμφόρησης, όπως δύσπνοια προσπαθείας, ορθόπνοιας, νυκτουρίας, , εύκολη κόπωση, κολπική μαρμαρυγή και αίσθημα παλμών. Η θεραπεία είναι φαρμακευτική και επεμβατική.

