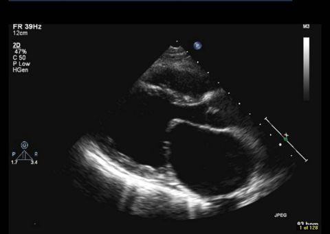
Στένωση Μιτροειδούς Βαλβίδας
![]() |
Η μιτροειδής βαλβίδα φράσσει το αριστερό κολποκοιλιακό στόμιο. Η μιτροειδική συσκευή είναι μια πολύπλοκη δομή, αποτελούμενη από ινώδη δακτύλιο, δύο γλωχίνες, δύο θηλοειδείς μύες και τις τενόντιες χορδές. Το εμβαδόν του μιτροειδικού στομίου είναι 4-6cm2. H στένωση της μιτροειδούς είναι μια παθολογική οντότητα κατά την οποία μειώνεται το λειτουργικό στόμιο και παρεμποδίζεται η ροή αίματος από τον αριστερό κόλπο προς την αριστερή κοιλία. Η νόσος εγκαθίσταται βαθμιαία. Συχνότερο αίτιο είναι ο ρευματικός πυρετός, αλλά λόγω βελτίωσης των κοινωνικο/οικονομικών συνθηκών η επίπτωση της νόσου μειώθηκε σημαντικά. Δεν ισχύει βέβαια το ίδιο για τις αναπτυσσόμενες και υπανάπτυκτες χώρες. Λιγότερο συχνά αίτια στένωσης μιτροειδούς είναι η συγγενής στένωση, η ασβέστωση και τα δευτεροπαθή αίτια απόφραξης του χώρου εισόδου της αριστερής κοιλίας, όπως το σύνδρομο καρκινοειδούς, τα μυξώματα , οι εκβλαστήσεις και οι θρόμβοι. |
- Ήπια στένωση, εμβαδόν στομίου 1,6-2cm2
- Μέτρια στένωση, εμβαδόν στομίου 1,1-1,5cm2
- Σοβαρή στένωση, εμβαδόν στομίου <1cm2
Όταν το στόμιο μειωθεί <2cm2 αυξάνεται η κλίση πίεσης μεταξύ αριστερού κόλπου και κοιλίας, ώστε να διατηρηθεί η καρδιακή παροχή. Η εμφάνιση συμπτωμάτων είναι απόρροια των αυξημένων πιέσεων του αριστερού κόλπου και κατά συνέπεια των πνευμονικών φλεβών, με προοδευτική εγκατάσταση δύσπνοιας, αρχικά προσπαθείας και εν συνεχεία ηρεμίας. Καταστάσεις που προκαλούν ταχυκαρδία στον ασθενή, πχ αναιμία, κύηση, υπερθυρεοειδισμός, κολπική μαρμαρυγή, επιδεινώνουν σημαντικά και ίσως οξέως την συμπτωματολογία του ασθενούς, καθώς ελαττώνουν τον χρόνο διαστολικής πλήρωσης της αριστερής κοιλίας και αυξάνουν σημαντικά την διαβαλβιδική κλίση πίεσης. Τέλος, η απώλεια του κολπικού λακτίσματος, σε συνθήκες πλήρους αρρυθμίας επί κολπικής μαρμαρυγής, επιβαρύνουν σημαντικά τον ασθενή. Η δύσπνοια, ο βήχας, η αιμόπτυση, η αρρυθμία, η εύκολη κόπωση , αλλά και τα θρομβοεμβολικά επεισόδια συνθέτουν την κλινική εικόνα. Η φυσική εξέταση, το ηλεκτροκαρδιογράφημα και η υπερηχοκαρδιογραφική μελέτη θέτουν τη διάγνωση. Η θεραπεία είναι φαρμακευτική και επεμβατική, βάση συγκεκριμένων κριτηρίων, (βαρύτητα της στένωσης, συμπτωματολογία ασθενούς, παρουσία πνευμονικής υπέρτασης, εμβολής ή παροξυσμού κολπικής μαρμαρυγής).

